SUMARIO
Última actualización el 23 octubre 2023 a las 07:07 pm
La mega apófisis transversa, también conocida como síndrome de Bertolotti es una causa poco conocida de dolor lumbar.
¿Qué es una apófisis transversa?
La apófisis transversa en una parte de la vértebra situada en la parte lateral del cuerpo vertebral. Sirve como anclaje a la musculatura paravertebral y a los ligamentos iliotransversos.
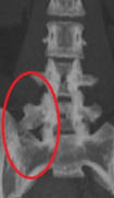
¿Qué es una mega apófisis transversa o síndrome de Bertolotti?
Un mega apófisis transversa es un crecimiento anómalo de la apófisis transversa más caudal de la zona lumbar (la vertebra lumbar más cercana al sacro). Al aumentar de tamaño puede llegar a chocar con el sacro o el íleon produciendo una sobrecarga de la articulación sacroilíaca y producir dolor.Se estima que el 4-8% de las personas tienen una mega apófisis transversa, la aparición de los síntomas se sitúa entre los 30-40 años. El síndrome de Bertolotti es más frecuente en varones y aunque no se sabe por qué es más habitual en el lado izquierdo.
Clasificación.Existen criterios radiológicos descritos por Castelvi que nos permiten clasificar los distintos tipos de mega apófisis transversa.
Tipo I. Apófisis transversa superior a 19mm
Tipo II Lumbarización o sacralización de una vértebra asociado a una diartrodesis entre la apófisis transversa y el sacro (una diartrodesis es una articulación entre dos huesos).
Tipo III La apófisis transversaesta fusionada con el sacro
Tipo IV. Existe una mega apófisis transversa tipo II en un lado y tipo III en el otro.
A su vez los tipos se subdividen en a y b según sea unilateral o bilateral.
¿Qué síntomas produce una mega apófisis transversa?
A)Lumbalgia.
La lumbalgia es el dolor de espalda que se produce entre la última costilla y las nalgas. La mega apófisis tranversa produce alteraciones a nivel de las articulaciones facetarias y desequilibrios en la musculatura, sobre todo en el cuadrado lumbar y en iliopsoas.
B)Dolor sacroilíaco.
El choque entre la apófisis transversa y el sacro puede sobrecargar la articulación sacroilíaca. El dolor sacroilíaco se caracteriza por ser una lumbalgia baja que afecta a la zona glútea y que muchas veces desciende por el muslo.
C)Ciática.
El aumento de tamaño de la apófisis transversa puede disminuir el espacio que tienen la raiz nerviosa para salir del canal lumbar comprimiendola.. AL comprimirse una raiz se produce un dolor intenso que desciende por toda la pierna asociado a pérdida de fuerza, alteraciones sensitivas y calambres.
¿Cómo se diagnostica un síndrome de Bertolotti?
La manera más fácil de llegar al diagnóstico de una mega apófisis transversa es con una radiografía simple, de este modo podremos observar el tamaño de la apófisis. El TAC y LA RMN son pruebas que nos ayudan a valorar con más precisión la relación entre la apófisis transversa y el sacro. Para confirmar el diagnóstico muchas veces es necesario bloquear la zona con un anestésico local y ver si disminuye el dolor, en muchas ocasiones puede coexistir un síndrome de Bertolotti con otras causas de dolor lumbar.
Tratamiento del síndrome de Bertolotti.
El tratamiento inicial ha de ser conservador, los antiinflamatorios, analgésicos y la fisioterapia son capaces de controlar el dolor en muchas ocasionesSi el tratamiento inicial no es efectivo se pueden realizar bloqueos con corticoide o radiofrecuencia de la mega apófisis de este modo inutilizamos los nervios que transmiten el dolor.
Por último existe la opción quirúrgica, reservada para los casos más dolorosos. La cirugía consiste en quitar la apófisis transversa, de este modo se aliviará la presión sobre la articulación sacroilíaca. Los resultados de la cirugía son bastante alentadores consiguiendo mejorías importantes en la mayoría de los pacientes.
EL síndrome de Bertolotti es una causa infradiagnosticada de dolor lumbar bajo que suele afectar a personas jóvenes. Como en muchas ocasiones pasa desapercibido es aconsejable acudir a especialistas en patología de columna, ya que es más probable que puedan reconocer una mega apófisis transversa.
No te olvides de valorar que te ha parecido el artículo, es muy útil para saber qué temas resultan más interesantes y seguir generando contenido sobre los temas mejor valorados.
Si quieres estar al tanto de todas nuestras publicaciones puedes hacerte fan de nuestra página de facebook
Autor: Dr. José Fco. Lizón. Especialista en cirugía endoscópica y mínimamente invasiva de columna.
¿Tienes dudas? ¿Necesitas realizarme alguna consulta o pregunta? Haz clic aquí y el equipo de profesionales de Infoespalda te responderá encantado y sin ningún tipo de compromiso. Recuerda que también puedes realizarme preguntas a través de mi perfil de Infoespalda.
Bibliografía.
Síndrome de Bertolotti: a propósito de un caso
A Review of Symptomatic Lumbosacral Transitional Vertebrae: Bertolotti’s Syndrome
Bertolotti’s syndrome: an underdiagnosed cause for lower back pain
Muy buenas. Creo que es de los mejores artículos que he leído. Todo claro y fácil de entender. Tengo mega apófisis transversal bilateral me la detectaron con 22 y tengo 44 años. He pasado algunos brotes de dolores y lumbalgia s. Hoy mismo hace 15 días que estoy de baja por lumbalgia siento que tengo como cuchillos clavados. Casi siempre me recetan medicamentos un par de días de reposo y luego comenzar a moverte. Hace unos años estuve 6 meses de tratamiento por un reumatólogo pero para nada muchas pastillas y poco resultados. Y de operar no me lo recomendaba. Tengo radiografías, resonancia y creo que no acaban de atinar con una tratamiento eficaz. Esto es muy incapacitante. Muchas gracias
Buenas tardes.rnLo difícil es diagnosticar correctamente una megaapófisis. Una infiltración ecoguiada de la transversa L5 puede confirmar el dignóstico., ademàs hoy en día con las técnicas endoscópicas de columna se puede limar la trancersa de un modo microonvasivo.rnSaludos.