SUMARIO1 ¿Qué es una resonancia magnética lumbar?2 ¿Cuándo hay...
Leer másHERNIA DISCAL. Causas, diagnóstico y tratamientos
¿QUÉ ES UNA HERNIA DISCAL?
Entre las vértebras de la espalda se encuentra el disco intervertebral. El disco intervertebral tiene como misión distribuir las cargas y las presiones que soporta la columna vertebral, el disco intervertebral es capaz de deformarse y volver a su forma normal cuando desaparece la presión.
El disco intervertebral está compuesto por un anillo fibroso o annullus que rodea a un material gelatinoso denominado núcleo pulposo.
El anillo fibroso está formado principalmente por fibras de colágeno y el núcleo pulposo tiene gran contenido de agua.
Una hernia discal también conocida como rotura discal, disco desprendido o protusión discal es la salida del material del núcleo pulposo fuera del anillo fibroso debido a que las fibras de colágeno se han deteriorado y roto.
Un paso previo a la hernia discal es la protusión discal, en la protusión discal las fibras de colágeno están deterioradas lo cual provoca que pierdan elasticidad, el disco intervertebral no es capaz de recuperar su forma tras la aplicación de fuerza y permanece abombado pero no hay salida de material del núcleo pulposo.
Aunque coloquialmente decimos indistintamente tengo una hernia discal o tengo una protusión, en sentido estricto para tener una hernia discal se debe producir la rotura del anullus y la salida de material procedente del anillo fibroso.
CAUSAS
La principal causa por la que se produce una hernia discal es degenerativa, es muy raro ver a personas menores de 30 años que tienen una hernia discal. Con el tiempo las fibras de colágenos del anillo fibroso se van degenerando y pierden elasticidad. Cuando se deforman debido a las presiones a las que sometemos a la espalda las fibras de colágeno ya no son capaces de volver a su posición previa y poco a poco se van rompiendo permitiendo que se hernie el material discal.
Debes saber que las hernias discales se producen principalmente en las edades intermedias de la vida, para que un disco se hernie debe ser gelatinoso, en las personas de avanzada edad el disco esta tan “seco” que las hernias discales son más raras
Otra causa de hernia discal son los accidentes, en esta ocasión se produce un aumento de la presión sobre el disco tan grande que se rompe el anillo fibroso. Este tipo de hernias suelen ser muy voluminosas.
TIPOS DE HERNIA DISCAL
Según el nivel en el que tengas la hernia los síntomas serán diferentes. A nivel lumbar las hernias más frecuentes son a nivel L4-L5 y L5-S1. En cambio a nivel cervical la hernia más frecuentes ocurre entre las vértebras C5-C6.
HERNIA DISCAL L4-L5. Síntomas, diagnóstico y tratamiento
Última actualización el 23 enero 2024 a las 01:12...
Leer másHernia Discal L5-S1. Diagnóstico, Síntomas y Tratamiento.
Última actualización el 26 diciembre 2023 a las 08:56...
Leer másDIAGNÓSTICO
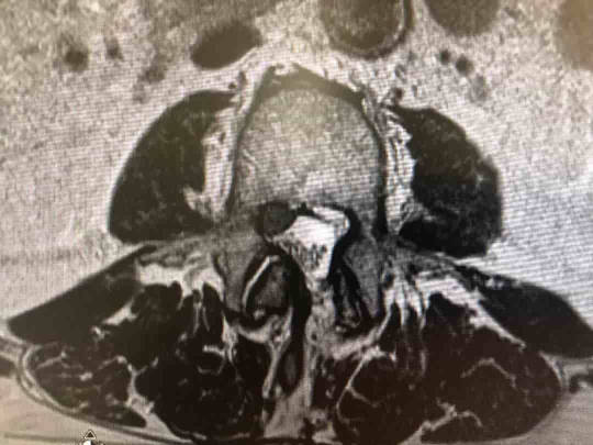
Cuando se produce una hernia discal muchas veces aparece una lumbociática. Una vez que has acudido a un médico especialista y tras una correcta exploración, tenemos un diagnóstico de sospecha que confirmaremos mediante una resonancia magnética (RM). La RM es la principal prueba de imagen que tenemos para poder diagnosticar una hernia discal. En las ocasiones en las que no se pueda realizar una RM (personas con marcapasos), la prueba que escogeremos es un escáner, que aunque no tienen la misma calidad de imagen si puede ayudarnos a diagnosticar una hernia discal. Sin embargo es muy importante poner en relación los síntomas que tenemos con las imágenes de resonancia, de este modo evitaremos achacar síntomas a lesiones que realmente no las están produciendo.
Resonancia magnética lumbar. Por qué no debes de hacer caso a todo lo que pone.
SUMARIO1 ¿Qué es una resonancia magnética lumbar?2 ¿Cuándo hay...
Leer másTRATAMIENTO
Las hernias tienden a evolucionar favorablemente en 8-12 semanas, por lo que el único tratamiento que necesitaras es analgésicos y realizar ejercicio suave. De hecho muchas veces las hernias reabsorben y dejan de dar síntomas. Sin embargo en otras ocasionesesto no es así y persisten los síntomas. Si no podemos controlar el dolor, tenemos alteraciones de esfínteres o el dolor se prolonga más de 8-12 semanas puede ser necesario realizar una intervención quirúrgica.
Endoscopia de columna. La técnica que debes conocer si necesitas operarte de la espalda.
Última actualización el 23 enero 2024 a las 12:48...
Leer másTipos de cirugía de Hernia Discal.
Última actualización el 27 octubre 2023 a las 02:54...
Leer másPor qué las hernias de disco se curan solas.
Última actualización el 27 octubre 2023 a las 02:54...
Leer másArtrodesis/fusión vertebral.
Última actualización el 11 diciembre 2023 a las 05:59...
Leer másPuedes dejarnos un comentario en este post o ponerte directamente en contacto con nosotros, nuestros especialistas resolverán toda tus preguntas.