SUMARIO
Última actualización el 23 enero 2024 a las 12:45 pm
La espondilolistesis, una condición donde una vértebra se desliza sobre otra, puede presentarse tanto en la región lumbar como cervical, afectando significativamente la movilidad y calidad de vida. En este artículo exploramos en detalle qué es la espondilolistesis, sus diferentes tipos y grados, los síntomas asociados, métodos de diagnóstico y las opciones de tratamiento disponibles, desde ejercicios específicos hasta intervenciones quirúrgicas.
¿QUÉ ES UNA ESPONDILOLISTESIS?
La espondilolistesis es el deslizamiento de una vértebra sobre la inmediata inferior. La espondilolistesis puede producirse tanto a nivel cervical como lumbar.
La espondilolistesis es la causa más frecuente de dolor lumbar en el adolescente. En la edad adulta es más frecuente en mujeres principalmente a nivel de L4-L5. La espondilolistesis cervical aunque existe y puede producir síntomas importantes es menos frecuente que la espondilolistesis lumbar.
ESPONDILOLISTESIS LUMBAR: PRINCIPALES TIPOS
- Espondilolistesis congénita
Aunque el deslizamiento de una vértebra sobre otra no se observa en el nacimiento, si existe un defecto en las carillas articulares sobre todo a nivel de L5-S1. Con el paso de los años poco a poco se desplazará la vértebra pudiendo producir síntomas.
- Espondilolistesis ítsmica
Más frecuente en adolescentes que practican deportes en el que se fuerzan los movimientos de hiperextensión de la columna, como la gimnasia o el levantamiento de pesas mal realizado. Se producen micro-traumatismos que poco a poco provocan que se fracture la pars interarticularis, la pars interarticularis es la parte que une la parte posterior de la vértebra con el cuerpo vertebral. Al no repararse correctamente la fractura del itsmo la parte posterior o arco vertebral queda separada de la parte anterior.
- Espondilolistesis degenerativa
Cuando estamos de pie las vértebras tienen que soportar fuerzas que favorecen el deslizamiento de una vértebra sobre otra, a estas fuerzas se oponen el tono de la musculatura lumbar y abdominal.
Con la edad perdemos flexibilidad y la espalda es más rígida, se produce una rectificación de la columna y una pérdida de la lordosis lumbar, lo cual provoca un desequilibrio a nivel de la columna. La columna trata de recuperar la lordosis lumbar, por lo que aumentan las fuerzas que favorecen el deslizamiento durante la bipedestación, a su vez, debido a la edad perdemos tono muscular y es entonces cuando aparece la espondilolistesis.
- Espondilolistesis iatrogenica
Se denomina iatrogenia a las lesiones producidas por los actos médicos. Durante la cirugía, sobre todo cuando hacemos laminectomias sin fusión podemos debilitar la unión entre la parte anterior y posterior de la vértebra y provocar una espondilolistesis
- Espondilolistesis patológica
Es la producida por lesiones tumorales o traumatismos.

Grados de Espondilolistesis
La clasificación más utilizadas es la que mide el desplazamiento de la vértebra en función de la vértebra sobre la que se desplaza.
- Grado 1. El desplazamiento es de menos del 25%
- Grado 2. El desplazamiento es del 25-50%
- Grado 3 El desplazamiento es del 50-75%
- Grado 4 El desplazamiento es del 75-100%
- Grado 5. También llamado espondiloptosis y es cuando la vértebra está completamente desplazada
El desplazamiento de una espondilolistesis puede preveerse en función de la inclinación de la vértebra inferior, cuanto más inclinadahacia delante existirán más posibilidades de que la espondilolistesis avance.
Síntomas espondilolistesis
El síntoma principal es la lumbalgia. Muchas veces se acompaña de síntomas neurológicos debido a que la espondilolistesis produce una estenosis del canal lumbar. No es infrecuente que el dolor de espalda este acompañado de ciática, hormigueos o debilidad en las piernas.
¿Cómo se diagnostica?
Con una radiografía suele ser suficiente, en ocasiones es necesario realizar una radiografía forzando la postura de la espalda ya que si se realiza la radiografía tumbado boca arriba puede no verse la espondilolistesis. En estos casos la resonancia magnética no es estrictamente necesaria y como se realiza boca-arriba algunas veces podemos tener una espondilolistesis y pasar desapercibida.

Tratamiento espondilolistesis
El tratamiento de una espondilolistesis inicialmente es conservador y la clave el mismo como en casi todos los problemas de espalda es la actividad física.
- Ejercicio: Un programa intensivo de 3-4 meses es la forma más eficaz de solucionar el dolor de espalda debido a una espondilolistesis. Fortalecer la musculatura lumbar y abdominal sin olvidarnos de trabajar la elasticidad de la musculatura de las piernas es la base del trabajo que debes de realizar.
- Medicación: Los antiinflamatorios como el diclofenaco o el ibrupofeno son muy útiles en los periodos de reagudización del dolor de espalda. No es bueno tomarlos a diario pero si por cortos periodos de tiempo para controlar los síntomas. Los relajantes musculares también nos ayudan al control de la lumbalgia producida por una espondilolistesis.
- Cirugía: Reservada para los casos más severos en los que la lumbalgia es realmente incapacitante. Si se acompañan de ciática, síntomas de estenosis de canal o radiculopatía la cirugía es capaz de resolver el dolor.
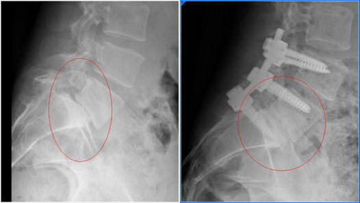
- La artrodesis vertebral es la técnica de elección para el tratamiento de la espondilolistesis, esta técnica consiste en realizar una fusión entre las vértebras para evitar que una se deslice sobre la otra. La artrodesis vertebral se acompaña de una laminectomía para liberar los nervios que puedan estar comprimidos. La artrodesis vertebral es una técnica eficaz, que consigue el alivio del dolor y de la incapacidad.
Existen distintas técnicas quirúrgicas para realizar una fusión vértebral sin embargo ninguna ha demostrado ser más eficaz que otra para resolver los síntomas.
La cirugía está indicada cuando fracasa el tratamiento conservador, el dolor es moderado severo o existen síntomas neurológicos. En estos casos la cirugía ofrece mejores resultados que continuar con el tratamiento conservador. La mejoría de los síntomas y el incremento de calidad de vida son más elevados a los 8 años de seguimiento.

ESPONDILOLISTESIS CERVICAL
La definición de espondilolistesis cervical es la misma que la lumbar. Se trata del desplazamiento de una vértebra cervical sobre la otra. Es más frecuente a nivel de la vértebra C3-C4 y muchas veces se asocia de inestabilidad, es decir cuando realizamos movimientos de flexión y extensión cervical el grado de desplazamiento aumenta. De hecho las espondilolistesis inestables son las que con mayor frecuencia necesitan una intervención quirúrgica.
¿Qué tipos existen?
- Espondilolistesis cervical tipo I. La espondilolistesis grado I se produciría cuando debido a la artrosis existe mucha rigidez en un segmento de la columna cervical y se mantiene la movilidad en el resto. Esta situación provoca un exceso de stress en el disco inmediatamente superior a la zona rígida pudiéndose producir una espondilolistesis.
- Espondilolistesis cervical tipo II. Es mucho menos frecuente que la tipo I y se produce cuando hay una espondilolistesis y ausencia de rigidez y artrosis cervical.
Síntomas
- Dolor cervical. Es el síntoma principal, la mayoría de los pacientes van a tener dolor en la cuna. Se trata de un dolor constante que empeora con los movimientos de flexoextensión.
- Radiculopatía. La radiculopatía a nivel cervical se caracteriza por un dolor intenso que baja por el brazo. Se trata de una sensación de quemazón que puede asociarse a debilidad muscular y alteraciones sensitivas.
- Mielopatía cervical. Llamamos mielopatía cervical a la afectación de la médula por una compresión. La mielopatía produce alteraciones en brazos y piernas, alteraciones de la marcha, pérdida de control de esfínteres e hiperreflexia.

Diagnóstico
Como ocurre con la espondilolistesis a nivel lumbar basta una simple radiografía para llegar al diagnóstico. Con las radiografías en flexión y extensión determinaremos el grado de inestabilidad, si el movimiento de la vértebra es menor de 2,, estaremos ante una inestabilidad leve y si es mayor de 4 mm será una inestabilidad severa.
Tratamiento
Como ocurre con la espondilolistesis lumbar el inicio del tratamiento de la espondilolistesis cervical ha de ser conservador. Ejercicio, fisioterapia y medicación ocasional son la base del tratamiento. En la mayoría de las ocasiones es suficiente para controlar los síntomas.
Un paso intermedio y menos agresivo que la cirugía son las infiltraciones, estas pueden realizarse de las articulaciones cervicales para disminuir los síntomas y en los casos de espondilolistesis cervicales poco inestable.
Por último valoraremos la opción quirúrgica en los casos más rebeldes al tratamiento, cuando el dolor cervical sea intenso, los síntomas neurológicos sean severos o tengamos una mielopatía cervical.
La técnica quirúrgica más utilizada será la fusión cervical principalmente la que se realiza por vía anterior, en los casos de vértebras muy desplazadas o inestables además de la fusión anterior en ocasiones tendremos que realizar una fusión posterior y poner tornillos desde la parte posterior de la vértebra.
Bibliografía
- Espondilolistesis degenerativa I: principios generales
- Espondilolistesis degenerativa lumbar II: tratamiento y controversias
Hola,doctor,saludos,en Abril del 2018 sufrí una grave caída,quedando con la espalda totalmente curvada hacia detrás,de ella en las resonancias,diagnosticaron,espondilolistesis bilateral ,grado 2 y dañado el nervio L5 se ve claramente en el agujero de conjunción,sufro de lumbociátcia crónica,me cuesta muchísimo andar,hasta el punto de no poder hacerlo sola,necesito bastones o ayuda de otra persona,de un tiempo hacia acá veo que cada vez tengo menos movilidad,y que antes,pude ponerme de puntillas y talón,y ahora apenas y con mucho esfuerzo se mueven mis dedos de los pies,de hecho el pié derecho ha perdido la movilidad de los dedos casi por completo,no soy capaz de levantárlos del suelo,tengo mucho miedo de no volver a recuperar el caminar con normalidad?,y he de cambiar de posturas así como levantarme,sentarme o acostarme cada poco tiempo debido al dolor que sufro,mi forma de caminar es como robótica,abro las piernas para guardar equilibrio,soy delgada y practicaba submarinismo,yoga,pilates,entre otros,Me volveré a recuperar,o el nervio se secciono por completo ya? tengo 55 años,aunque no los represento,Muchas gracias por su atención ojalá contacte conmigo y me ayude con mis miedos,sufro caídas repentinas debido a la gran inestabilidad,El neurocirujano que me vio,me dijo que tienen que hacer artrodesis,pero pasado el tiempo no me llaman,y ahora me llamaron para dar consentimiento a hacerlo en clínica concertada debido a la larga lista de espera y mi empeoramiento,he caído en depresión,siento que no soy yo,de nuevo tengo que darle las gracias por este gran blog y su gran profesionalidad,atentamente María,Saludos cordiales.
Buenas noches, María.Por lo que me cuentas no creo que tengas otra alternativa que la artrodesis vertebral. Espero que te llamen lo antes posible y que todo salga bien.Con la artrodesis si no hay complicaciones recuperaras gran parte de tu vida.Un saludo.
Hola Doctor buenas tardes.. Una consulta tengo 37 años hago deporte frecuentemente, hace un mes en un partido de futbol hice un movimiento de cintura hacia el lado derecho durante el juejo para elidir un jugador , ahi senti un leve tiron en la espalda.. De ahi en adelante me viene molestando el dolor lumbar parte baja derecha .. Especialmente cuando camino por mucho tiempo o estoy mucho tiempo de ple… Solo es esa zona .. No me duele la pierna ni siento hormigueo..He tomado antiflamatorio Naproxeno durante una semana , pero continua el dolor al caminar Esto sera algo muscular o sera algo mas grave como la lesion que estas mensionando … Podria intentar con otro medicamento ¿ que me recomienda gracias ..
Buenas tardes.Por lo que cuentas creo que será un dolor muscular. Un corticoide (celestone) intramuscular puede ayudarte y visitar a un fisioterapeuta.Saludos.
Buenos días, Soy Mary, tengo 44 años. Hace 2 días sufri un accidente de coche con un gran golpe lateral, ayer me hicieron rx de columna lumbosacra: rectificación y espondilolistesis L5-S1, esto puede ser provocado por el accidente? También tengo rectificación en cervicales a nivel de C3-C7Muchas gracias, saludos
Buenos días. Lo normal es que sea antigua y se haya detectado al hacer la radiografía. La rectificación cervical es normal después de un accidente.Saludos.
¡Hola!Después de meses con pinchazos muy agudos y entumecimiento en las piernas me han diagnosticado espondilolistesis en L5 S1, aún a la espera de la resonancia el especialista me ha dejado bastante claro que hay que operar, ¿es normal que directamente me diga que me tengo que operar porque por la propia gravedad se va a seguir moviendo y la operación de después será más compleja?Dice que es congénita, tengo 28 años. Un saludo y gracias.
Hola.Mi criterio suele ser siempre intentar el tratamiento conservador. Fortalecer musculatura del core, si el dolor se controla o te permite hacer una vida más o menos normal, controles por si se desplaza o el dolor se reagudiza. Con el dolor mal controlado la solución es quirúrgica.Saludos.
Buenas noches doctor. He tenido dos episodios de ciática y el primero fue en la pierna izquierda y duró 5 semanas. El de ahora es en la pierna derecha y llevo ya dos meses y medio. Tengo espondilolistesis grado L5 S1 congénita. Dos neurocirujanos me indican tratamiento conservador. Dolores lumbares no tengo y la ciática me da sobre todo por la tarde. Hago ejercicio por la mañana que apenas me duele. Pero no remite es solo dolor, desde el glúteo hasta el tobillo. Tengo 42 años, tomo gabapentina, pero tampoco noto mucha mejoría aunque llevo 15 días tomandola. Los antiinflamatorios no me hacían nada. Cree que al final será operación con esta trayectoria? Muchas gracias
Buenas noches.Si tu calidad de vida está muy disminuida tienes que valorar la opción quirúrgica, si aún no ha llegado el momento puedes intentar hacer infiltraciones en una unidad del dolor.Saludos.
Hola Doctor buenas tardes.. Una consulta tengo 43 años y trabajo de Jardinero y llevo ya 6 meses de baja laboral por el dolor de espalda y estoy en la lista de espera para operarme ,la conclusion es espondilosis bilateral a novel L5-S1 con anterolistesis grado 1 sobre s1.discopatia degerativa L5-S1 con protrusion discal difusa ,que junto con presencia de pseudoprotrusion discal posterior y horizontalizacion de los agujeros de conjunction en contexto de la listesis,condicionan estrechamiento de foramenes L5-S1 con afectacion de raices L5 .esto es el resultado del TC ,la pregunta es despues de la operation puedo continuar trabajar sin problemas ? ya que mucha gente me dicen que es impossible siguir trabajar de Jardinero y algunos tienen el mismo motivo que yo ya tienen incapacitate permanente
Buenas noches. Depende de la cirugía, que salga todo bien y del esfuerzo que hagas por recuperarte. Tengo pacientes subiéndose a palmeras después de una fusión vertebral y otros que aunque están mejor no han conseguido volver a trabajar. En mi opinión depende mucho del trabajo de recuperación que hagas.Saludos.
Hola doctor Tengo 17 años hace un año fui operado de la columna por espondilolistesis en l5 S1 quisiera saber si aún puedo practicar béisbol y que ejercicios pudiera hacer ya que engorde bastante en este lapso de mi diagnóstico a mi operación gracias
Buenas tardes. Primero debes bajar de peso, abdominales, fortalecer psoas y musculatura estabilizadora de la columna. También debes trabajar la flexibilidad. Y luego probar si puedes jugar al beisbol. Saludos
Hola buenas, hace 5 años me diagnosticaron espondolistesis congénita en l4,l5 y s1. Haces 3 años me realizaron una operación. Hoy en día soy camarera y tengo dolor habitualmente en la zona, mi pregunta es obviamente el dolor no se ira nunca, He de ejercer otra procesión porque puedo dañar la crujía ? Es normal que siga teniendo dolores? Muchas gracias por su atención.
Buenas tardes. Normalmente con la cirugía se obtienen una mejoría importante pero muchas veces persisten los síntomas. Mi recomendación es que hagas ejercicio. Yoga natación pilares. Por otro lado si tu trabajo te provoca aumento de dolor puede que sea necesario cambiar.Saludos
Hola buenas, tengo 17 años, tras hacerme una radiografía por puro interés (tengo una pequeña protuberancia en la zona lumbar que se hace más visible al flexionar la espalda hacia adelante y quería ver que no fuese nada grave, por si acaso básicamente) descubrí que tengo espondilolístesis l5-s1 de grado 2-3 (entre un 40% y 50% de desplazamiento). Me sorprendió bastante ya que apenas tengo dolores en la espalda, solo en algunos momentos determinados tengo alguna pequeña molestia. Hago deporte intenso casi a diario y tras una supuesta lumbalgia hace unos dos años fortalezco mucho la zona lumbar, el traumatólogo me indicó que quizás por eso apenas siento dolor. También él me dijo sin dudarlo que debo operarme cuanto antes mediante una artrodesis instrumentada. Estoy a la espera de hacerme una resonancia en un par de semanas. Mis dudas son la siguientes:Es necesario que me opere?Es normal que lo tenga tan claro (el traumatólogo) que me tengo que operar?Podré levantar pesas después de la rehabilitación? (Soy velocista y son una parte importante del entrenamiento)
Buenos días. En este caso yo tengo un criterio algo distinto. Si no tienes dolor, yo controlaría la espondilolistesis por ver si sigue avanzando. Si lo hace si que se tendría que operar. Pero si está estable y no tienes dolor creo que se puede alargar el tratamiento conservador, aunque posiblemente en el futuro necesites realizarte una fusión. Saludos