Última actualización el 23 octubre 2023 a las 07:07 pm
Hoy queremos presentaros a Alicia. Alicia es un ejemplo para todas las personas con dolores crónicos. Alicia no sólo se levanta por las mañanas y le pone una sonrisa a la vida, sino que es muy activa en multitud de grupos de Facebook y siempre tiene palabras de ánimo para todas las personas que padecen dolor de espalda.
Antes de dejaros con la historia de Alicia os dejamos donde podéis encontrarla.
Hola a todos. Me llamo Alicia y tengo 40 años. Nací siendo una niña “sana”, lo pongo entre comillas por lo que voy a contar a continuación.
Cuando tenía 12 años en un análisis rutinario de orina descubrieron que perdía sangre y proteínas en la orina. Para los que no sepáis del tema, esto era un signo de que mis riñones no estaban funcionando correctamente. Por lo tanto empecé a tratarme en la unidad de nefrología del hospital. Allí los nefrólogos solo me decían que era un síntoma, pero para descubrir la enfermedad real que me estaba provocando estos síntomas tenían que hacerme una biopsia. El caso es que me dijeron que era una prueba muy peligrosa y podría llegar a perder el riñón. Con lo cual decidí no hacérmela ya que podía seguir haciendo vida normal con un tratamiento.
Al cumplir 18 años trabajaba para pagarme la carrera y mi vida era como la vida de cualquier chica de esa edad. Pero cuál fue mi sorpresa que a los 21 años un buen día empecé a notar que no podía respirar y me faltaba el aire. Acudimos a los servicios de urgencias y resultó que tenía la tensión arterial por las nubes y encharcados de líquidos los pulmones. Me dejaron ingresada durante un mes y medio. Podéis imaginaros el “mazazo” tan fuerte que fue para mi familia y para mi esta situación.
Yo no entendía cómo podía estar bien y de la noche a la mañana estar ingresada en un hospital haciéndome mil y una pruebas y sometiéndome a tratamientos con pastillas y plasmaféresis.
El caso es que salí del hospital teniendo que hacer todos los días diálisis en mi casa. Pensé que aquello supondría un giro total en mi vida pero seguí luchando y en ese mismo año me puse a trabajar y a terminar de sacarme la carrera. Al año siguiente me llamaron para trasplantarme un riñon y todo salió satisfactoriamente. El nuevo riñón trasplantado funcionaba correctamente aunque teniendo que tomar mediación de por vida para evitar el rechazo del nuevo órgano.
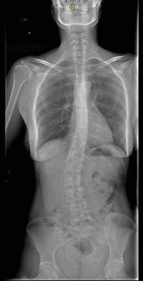
Todo iba bien hasta que al cumplir los 29 años empecé a trabajar en una empresa donde tenía que coger en alguna ocasión peso y hacer algo de esfuerzo. A raíz de aquello me empezó a doler bastante la espalda y el glúteo derecho. La vida me tenía guardada otro reto, fui al traumatólogo, me hicieron una radiografía entera de columna y…. ¡Sorpresa! Tenía una desviación de columna de unos 30 grados. La verdad es que nunca me había notado nada extraño ya que jamás me había dolido la espalda.
El dolor seguía a pesar de haberme sometidos a muchos tratamientos de fisioterapia, empecé a ir a la unidad del dolor donde me hicieron infiltraciones. Logré mejorar algo al cabo de un año pero aun así seguía con dolores, pase algunos años más o menos buenos gracias a un osteópata al que iba pero que el pobre falleció en accidente de tráfico al cabo de unos años.
En el 2013 a raíz de una ecografía renal me descubren un tumor en mi riñón nativo, ya que los nuestros cuando nos trasplantan no nos los quitan. Me extirparon el riñón y resulto ser un cáncer de riñón. Como el riñón estaba necrosado el tumor no se diseminó y no necesité quimioterapia ni ningún tipo de tratamiento.
Pero no os voy a negar que fueron tiempos muy difíciles porque hasta que no me extrajeron el riñón los médicos no sabían decirme si el quiste era bueno o malo. Otra batalla ganada.
A raíz de empezar a trabajar en el dpto. de RRHH de una importante empresa debido al stress y la carga de trabajo que tenía empezó a dolerme mucho la zona dorsal. Me hice resonancias de columna y resultó que tenía una hernia extruida a nivel D6-D7 y una protusión a nivel D7-D8. Me tuve que dar de baja médica porque no podía con todo: Dolor, cansancio por toda la medicación que tomaba, saturación por todo el trabajo que tenía ya que yo sola llevaba toda la gestión laboral de una empresa de 700 trabajadores…
Desde aquel año, el 2015, mi vida ha cambiado radicalmente. No puedo estar sentada por mucho tiempo porque los dolores de espalda se me hacen insoportables. Tuve que buscarme un trabajo de menos horas que no era de lo que había estudiado porque no podía estar más de 4 ó 5 horas sentada.
Como ya estaba harta de tantos dolores me empecé a informar, ya que en la Seguridad Social no me querían operar esas hernias, y descubrí un cirujano de columna de Madrid que me ofreció la posibilidad de operarme esa hernia y a su vez hacerme una rizólisis para aliviar el dolor de la zona. Me sometí a la cirugía el día 29 de Mayo de2019. La cirugía salió bien, salí caminando y eso que en la Seguridad Social me decían que incluso me podría quedar en silla de ruedas con una cirugía en esa zona o sufrir infección post quirúrgica. La cuestión es que durante la cirugía se provocó una neuritis intercostal, lo que viene siendo, inflamación de unos nervios que salen de las costillas, lo que me provocaba mucho dolor con solo respirar. Me mandaron corticoides para desinflamarlo y bueno una vez que han pasado ya 7 meses de la cirugía sigo con dolores. No os puedo engañar.
El cirujano me comenta que tengo una columna muy compleja ya que tengo escoliosis con bastante rotación vertebral, osteocondrosis por el desgaste de las vértebras en esa zona y espina bífida oculta. No estoy pasando buena época porque pensaba que la cirugía podría ser la solución de todos mis males pero claro la columna es una estructura muy compleja y no es fácil de aliviar sus dolencias.
A día de hoy estoy luchando porque se me reconozca una incapacidad ya que apenas puedo estar sentada y os podéis imaginar cómo me encuentro a nivel anímico. Mi cuerpo está muy machacado por todo lo que he pasado pero me resigno a vivir deprimida y triste toda mi vida. Hago por vivir el día a día como puedo. Mi ritmo de vida es mucho más lento que el de cualquier persona sana de mi edad. He perdido mucho en el camino: amistades que les costaba empatizar con mis enfermedades, el trabajo que me gustaba y para el cual estudié y en definitiva el llevar una vida lo más normal posible.
En cambió encontré el amor de mi vida hace 12 años el cual es una excelente persona que es capaz de valorarme por mi persona y nos queremos muchísimo. A pesar de todo, la sonrisa en mi cara sigue perpetua y mi máxima en la vida es “No me rindo”.
Os dejo una fotografía que me hice 15 días después de haberme sometido a la cirugía de columna en la boda de una amiga. Estaba en tratamiento con corticoides de ahí que mi cara estaba un poco hinchada.
Desde Infoespalda queremos agradecer a Alicia el esfuerzo que ha hecho por escribir su historia, somos muy conscientes de que exponerse en público y redes sociales no es nada fácil.
Si tienes una historia que contar y quieres que la publiquemos en Infoespalda, envíanosla a contacto@infoespalda.es
Hazte fan de Infoespalda en Facebook estarás al tanto de nuestras publicaciones.